폐렴은 전 세계적으로 가장 흔한 사망 원인입니다. 과거에는 젊은이들이 대부분 목숨을 잃었지만 최근 개발된 항생제 치료의 효과로 환자의 대다수가 완치되고 있습니다. 하지만 아직도 인구 10만 명당 6명이 폐렴을 원인으로 사망하고 있기 때문에 여전히 가장 흔한 감염의 원인이 되고 있습니다.
폐렴
폐포라고 하는 폐의 공기주머니에 염증이 생기는 것이 폐렴입니다. 폐포에 염증이 생기면 백혈구와 분비물이 고이게 되고 산소가 폐포를 통과해 혈액으로 도달하기 어려워지게 됩니다. 바이러스, 박테리아, 곰팡이 및 원충 등 다양한 미생물에 의한 세균 감염이 원인이지만 드물게는 화학물질이나 구토물 등의 이물질을 흡입하여 염증이 발생할 수 있습니다.
폐럄의 원인
건강한 성인이 폐렴에 걸리는 흔한 원인이 세균 감염인데 그중에서 폐렴구균이 가장 많습니다. 어떤 사람은 감기와 같은 호흡기 감염의 후유증으로 발병하고, 에어컨을 통해 퍼질 수 있는 레지오넬라균은 간과 신장에도 영향을 미칩니다. 황색 포도상구균도 입원환자들에게 많이 발생하는데 어린이와 노인에게 취약하며, 독감의 심각한 합병증으로 인해 생기기도 합니다.
독감이나 수두 바이러스가 원인이 되어 폐렴을 일으킬 수 있습니다. 면역력이 약한 사람들에게는 원충이나 곰팡이가 원인이 될 수 있는데 건강한 사람은 감염되는 일이 거의 없으며 감염되더라도 쉽게 치료할 수 있습니다. 흡인성 폐렴은 구토물을 흡입했을 때 나타납니다.
이는 약물중독 또는 술을 많이 마신 경우, 의식이 없는 두부손상 환자들에게 가장 흔하게 나타납니다. 폐렴은 신생아, 노인, 중증환자 또는 만성질환이 있는 환자에게 쉽게 발생하고, 후천성 면역결핍 증후군과 같은 심각한 질환으로 면역력이 저하된 환자들에게 더 잘 나타납니다. 또한 흡연, 음주, 영양결핍도 폐렴에 걸릴 위험이 높습니다.

폐렴의 증상
폐렴은 염증으로 인해 폐의 정상적인 작동에 문제가 생기므로 폐와 전신에 걸쳐 증상을 보입니다. 세균성 폐렴은 진행속도가 빠르기 때문에 몇 시간 내로 증상이 나타나며 심각하게 됩니다. 세균성 폐렴 외 다른 감염에 의한 폐렴은 서서히 증상이 나타나지만 전반적으로 온몸이 며칠 내로 좋지 않고 열이 나면서 식욕을 잃게 됩니다.
간혹 어떤 사람은 기침과 가쁜 숨을 쉬는 증상만 나타나기도 합니다. 신생아나 어린이, 노인의 경우에는 증상이 뚜렷하지 않을 수 있습니다. 신생아는 구토만 하다 점차 열이 오르고 경련이 일어날 수 있고, 노인들은 호흡곤란이나 기침 등의 호흡기 증상 없이 의식만 혼미해질 수도 있습니다.
- 기침을 할 때 피가 나옵니다.
- 고름이나 피가 섞인 가래를 배출합니다.
- 가쁜 숨을 쉬며 가슴 통증을 호소합니다.
- 지속적인 호흡곤란이 발생합니다.
- 소화기에 이상이 생겨 구역이나 구토, 설사 등이 발생합니다.
- 두통, 근육통, 심한 피로감 등 전신에 걸쳐 증상이 나타납니다.
- 고열, 오한이나 섬망, 의식이 혼미한 증상이 나타납니다.
폐렴의 진단
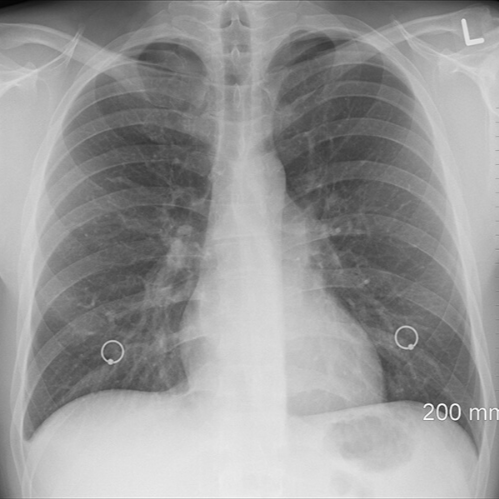
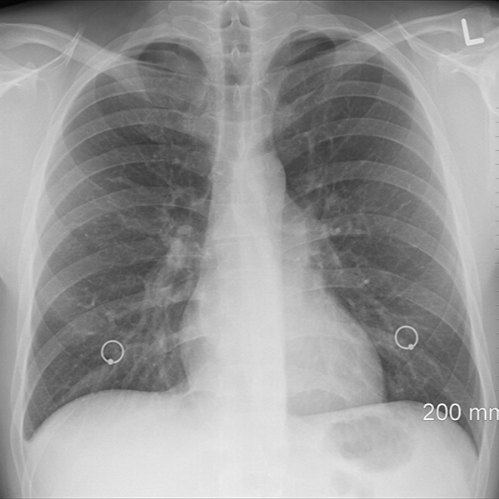
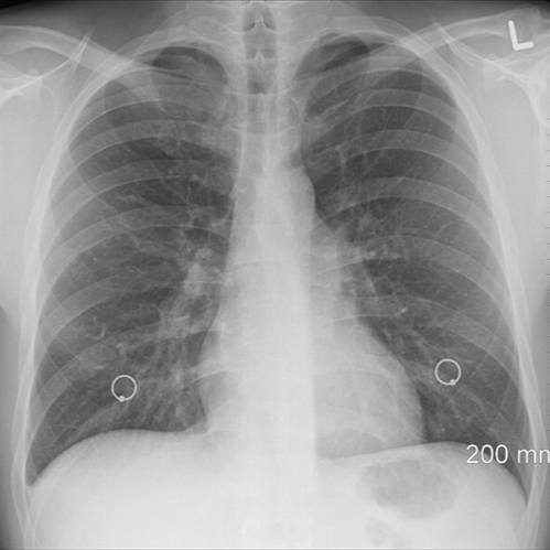
폐렴이 의심되면 가장 먼저 흉부 X-Ray 검사를 하는데 흉부 X-Ray 촬영으로 하는 검사는 폐렴이 얼마나 진행되었는지도 보여 줍니다. 그러나 흉부 X-Ray만으로 뚜렷한 폐 음영이 보이지 않으면, 흉부 CT(전산 단층촬영) 검사를 하기도 합니다. 가래를 모아 균을 배양하여 폐렴을 일으킨 원인을 찾아내며, 좀 더 정확한 진단을 위해 소변과 혈액검사를 합니다. 폐렴이 의심되면 호흡기내과, 소아청소년과에서 진료를 받을 수 있습니다.
폐렴의 치료법
다른 질병이 없고 경미한 상태라면 진통제와 항생제로 집에서도 치료가 가능합니다. 일반적으로 미생물로 인해 감염된 세균성 폐렴은 원인균을 찾아내고 그에 따른 항생제로 치료하며, 곰팡이가 원인이라면 항진균제로 치료합니다.독감과 비슷한 바이러스성 폐렴은 치료 초기에는 항바이러스제의 효과를 볼 수 있습니다.
합병증이 발생하지 않으면 보통 10~14일 정도의 치료기간이 필요하지만, 호흡곤란으로 자가호흡이 불가능한 경우에는 중환자실에서 호흡기의 도움을 받아 산소를 보충하고 정맥 내 수액 치료를 진행해야 합니다. 폐렴의 합병증은 폐렴의 원인균과 환자의 건강 상태에 따라 경과가 달라지지만 패혈증, 쇼크, 늑막염, 급성 호흡곤란 증후군이 나타날 수 있습니다. 심한 경우 감염을 일으킨 원인균이 혈액에 침투하여 사망에 이르기도 합니다.
폐렴의 예방
폐렴을 가장 효과적으로 예방하는 방법은 금연입니다. 그리고 독감과 폐렴구균 예방백신을 접종하는 것입니다. 폐렴구균 백신은 폐렴을 완전히 예방할 수는 없지만 중증으로 이어지는 폐렴구균의 감염을 낮추는 효과가 있기 때문에 백신을 접종하도록 합니다. 또한 면역력이 떨어지지 않도록 영양을 골고루 섭취하고 운동을 꾸준히 하는 것도 질병 예방에 도움이 될 수 있습니다.



